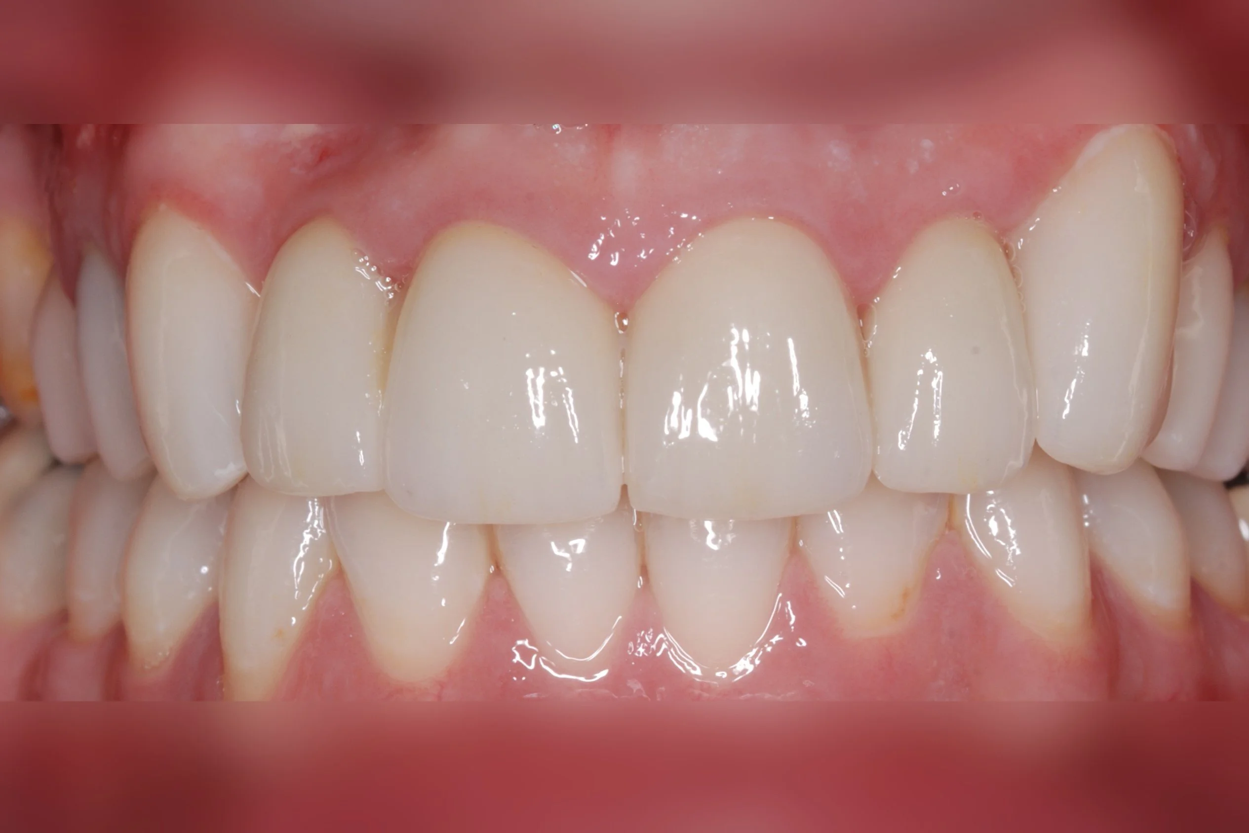
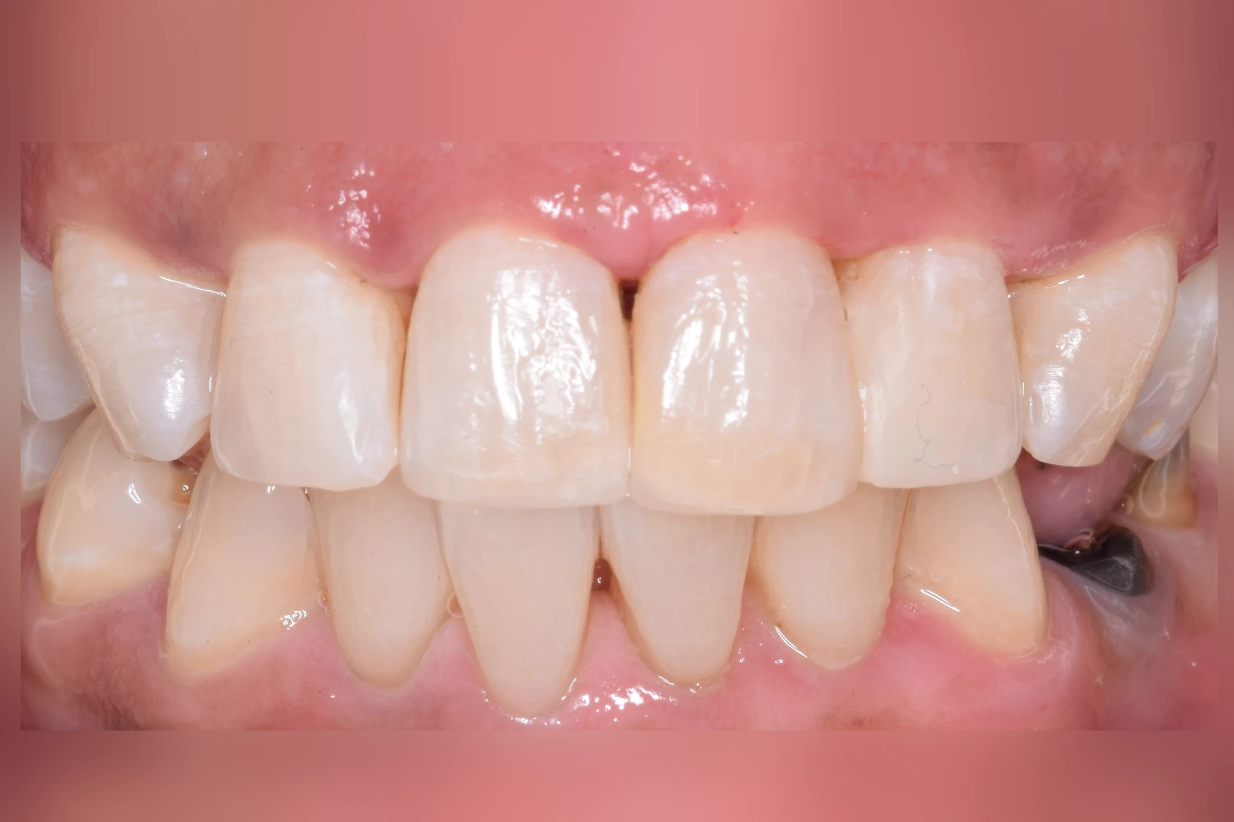
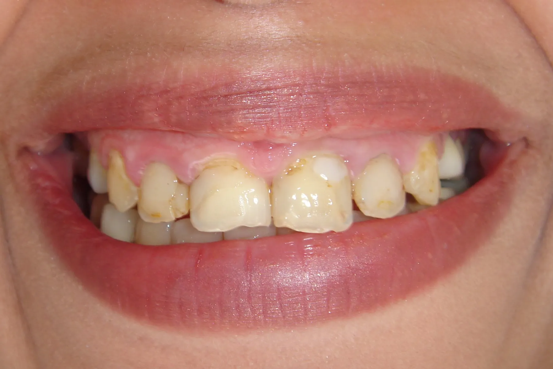
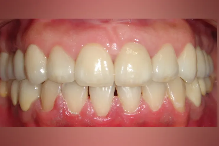
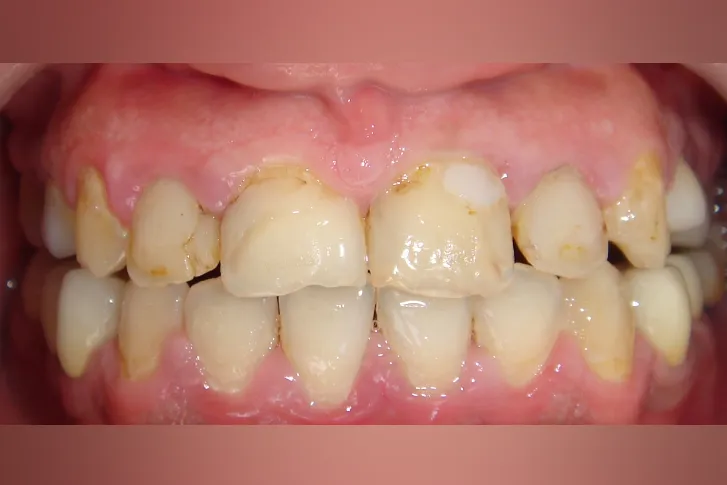
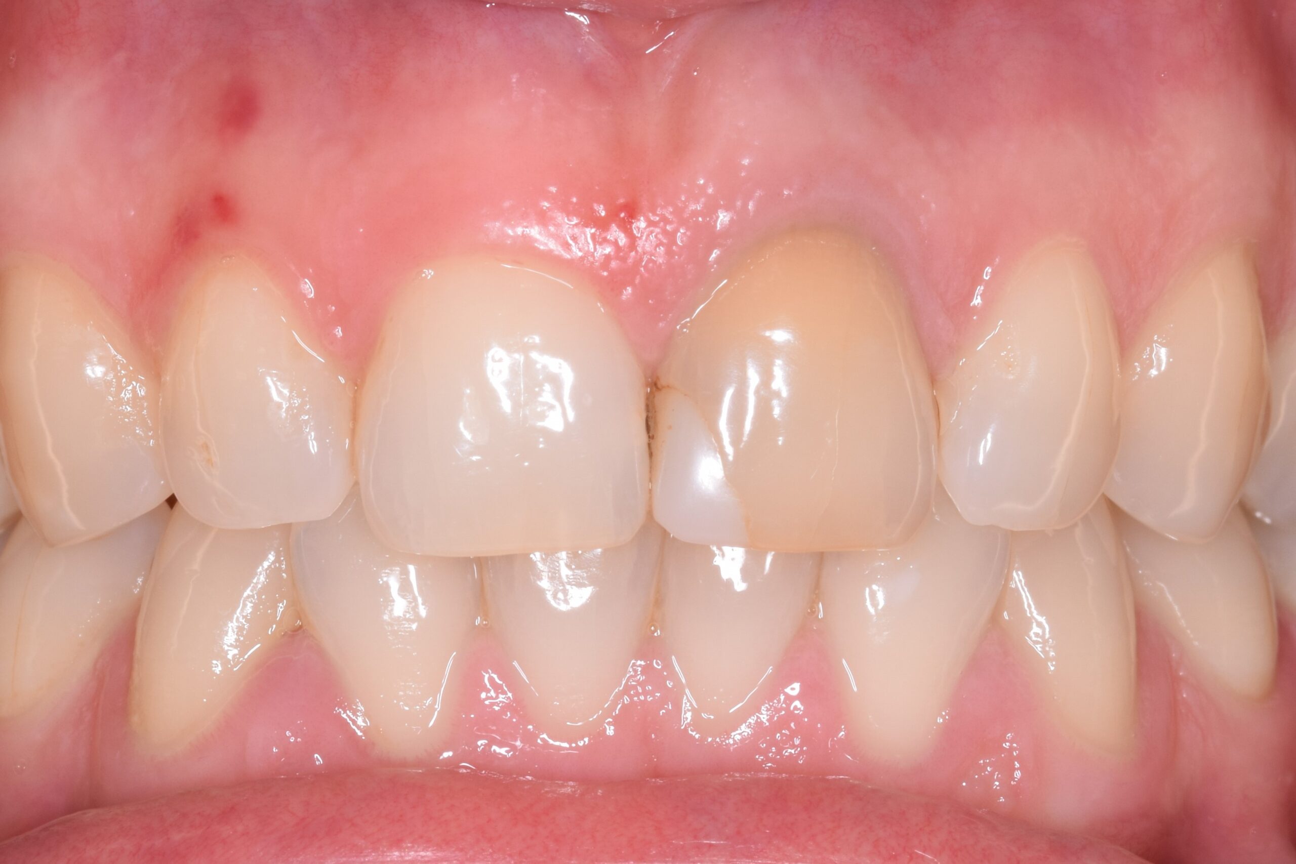
Smile Transformation: Your Journey to Confidence
Smile transformation focuses on enhancing the appearance of your smile by addressing issues like discolored, misshapen, or missing teeth
Anyone looking to boost self-confidence and achieve a beautiful smile can benefit from smile transformation
If you have gum issues or misalignment, we’ll find the best solution tailored to your needs
You’ll experience improved aesthetics and a lasting boost in self-esteem
While multiple steps may be involved, we ensure a smooth, effective process for a stunning smile!
Full Mouth Rehabilitation – Restore Your Smile and Function
Dr. Sami Bissasu offers full mouth rehabilitation, a comprehensive treatment plan designed to restore the entire mouth, including teeth, gums, and bite
This treatment is ideal for patients with multiple damaged or worn teeth, extensive decay, or bite issues
Full mouth rehabilitation improves both aesthetics and function, restoring a healthy and balanced smile
Yes, it requires a significant time commitment and may not be suitable for those with untreated gum disease
The personalized nature of this rehabilitation can transform a patient’s oral health and appearance, tailored to individual needs
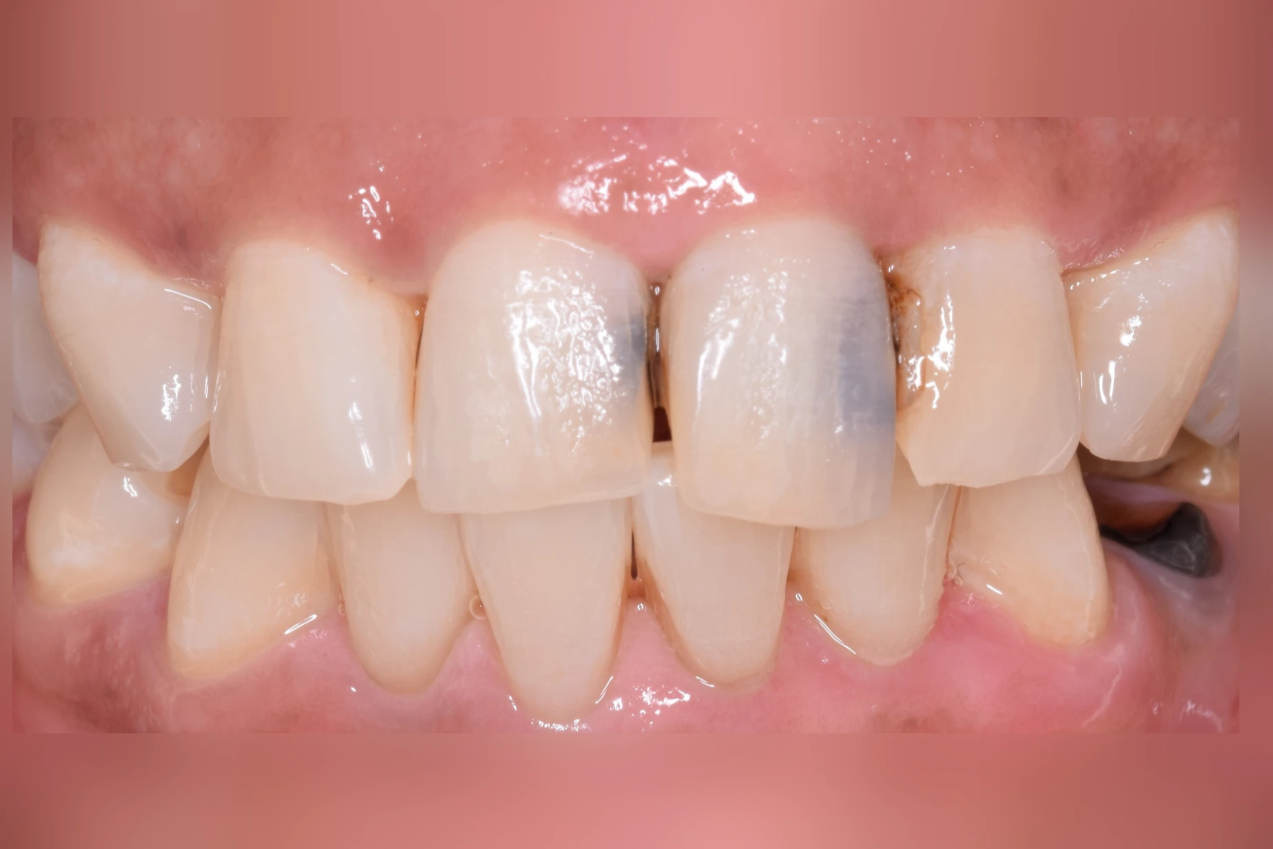
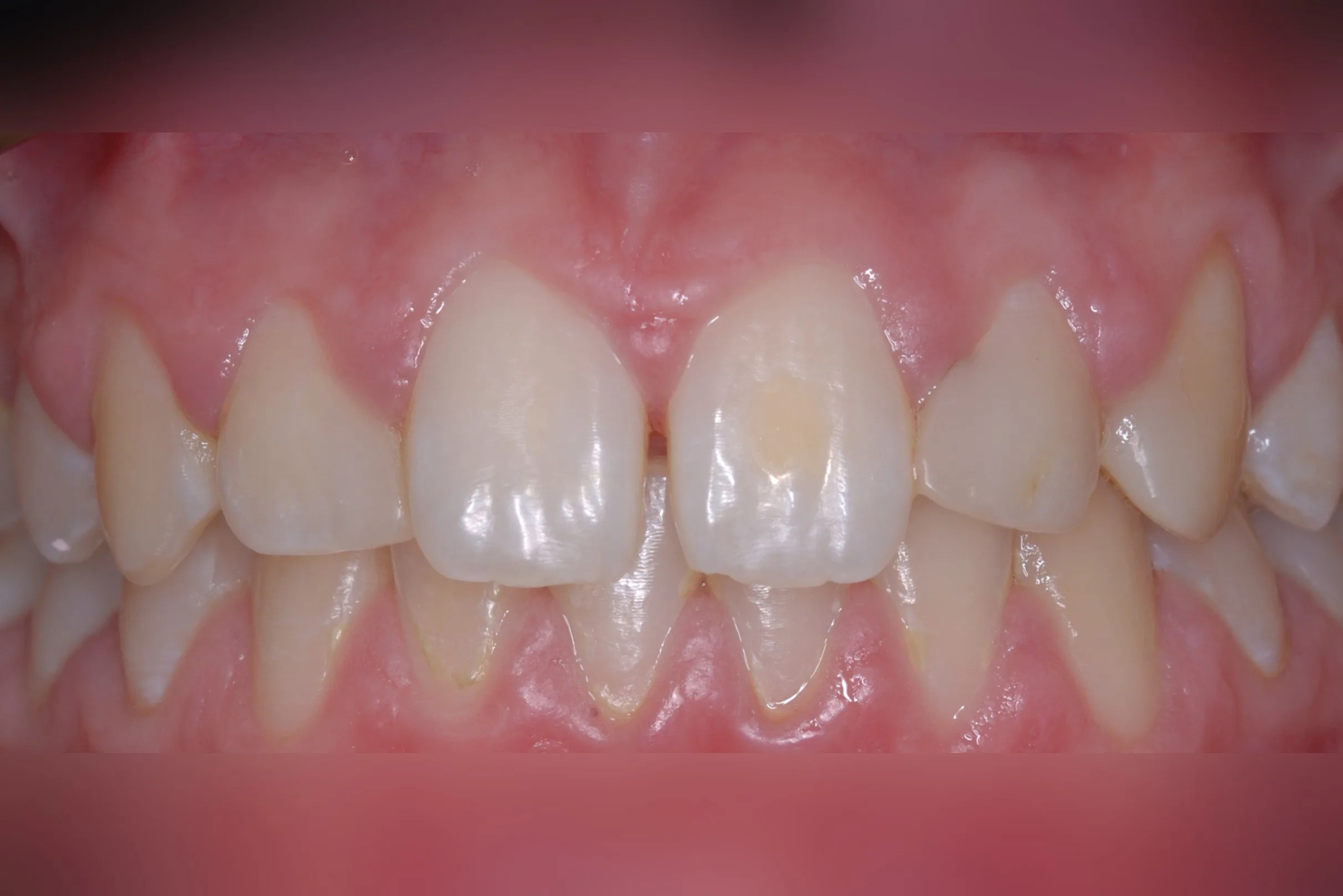
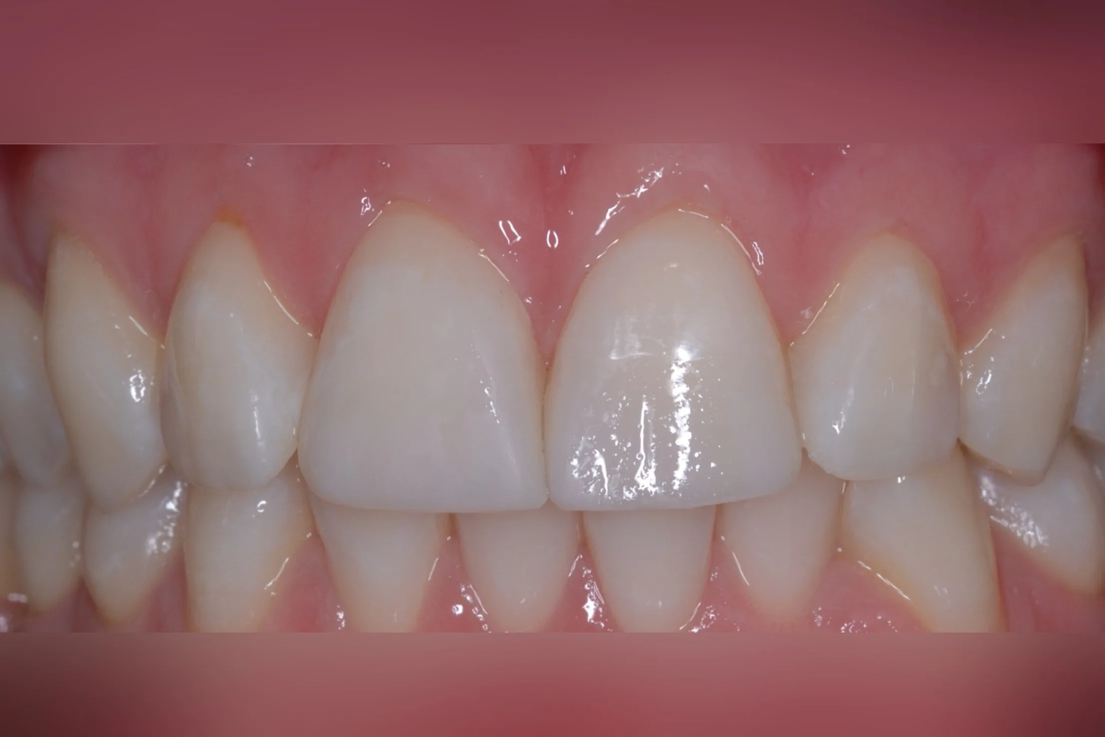
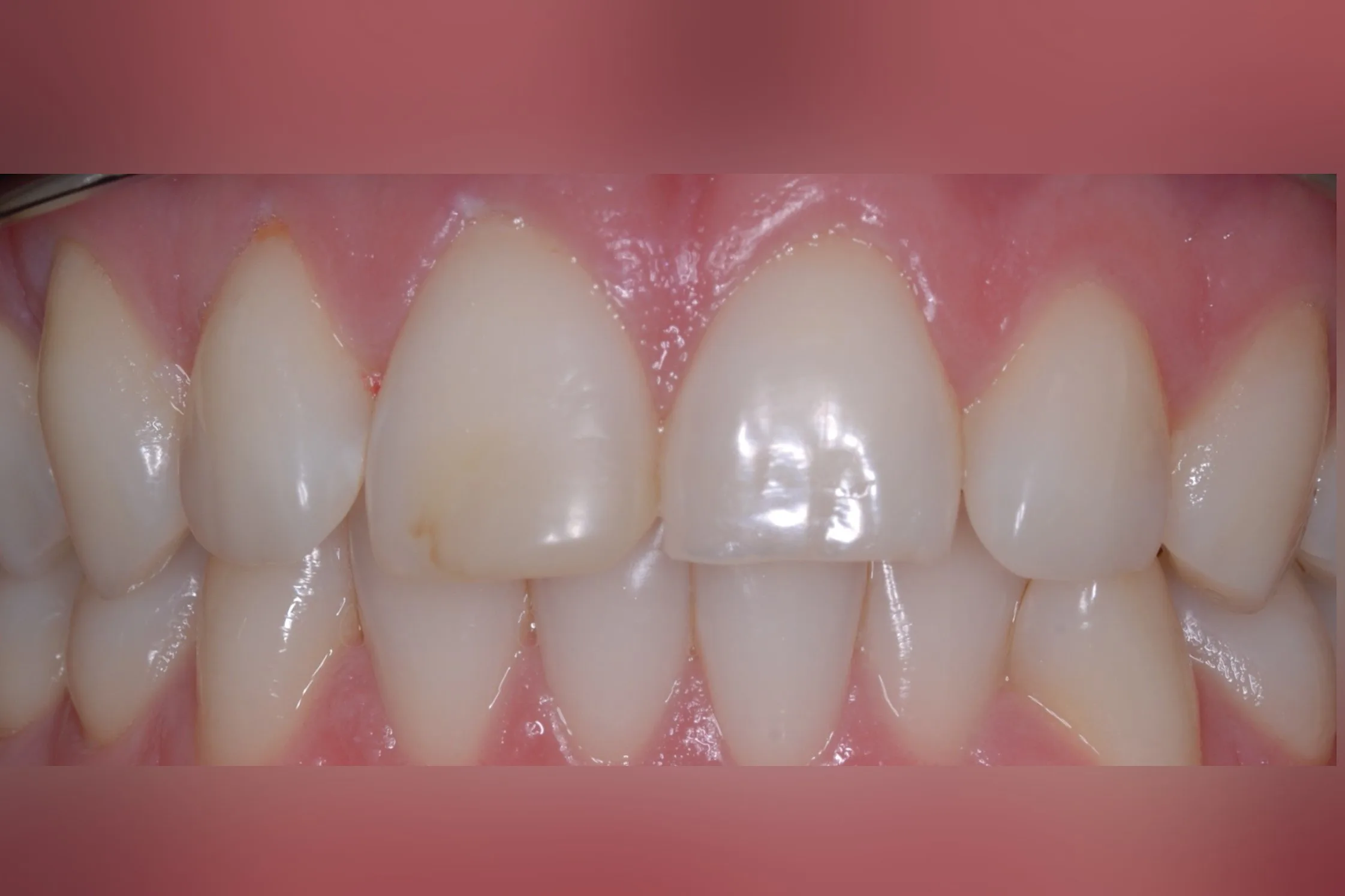
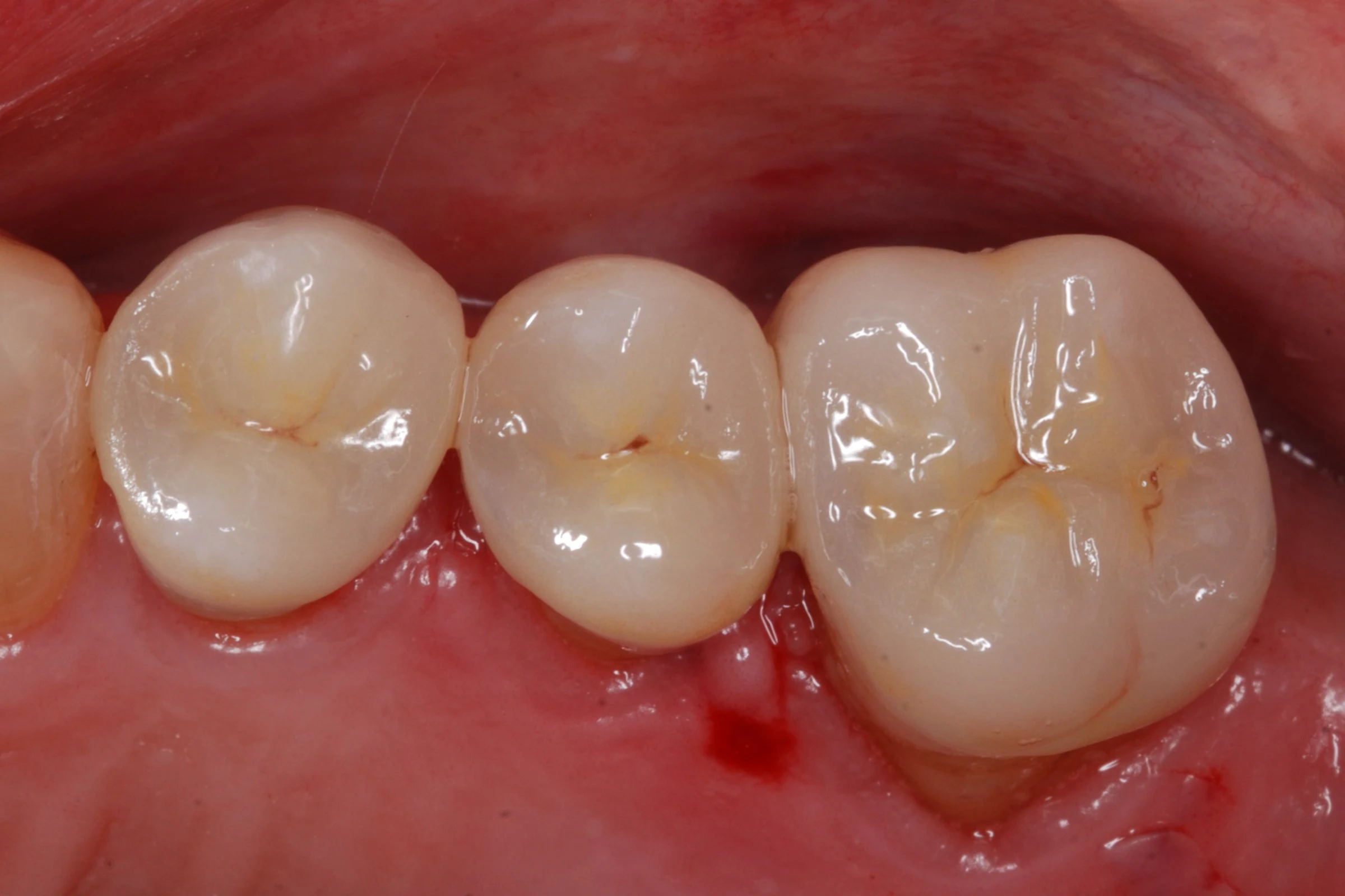
Composite Restorations: Your Solution for a Beautiful Smile
Dr. Bissasu provides composite restorations, using a blend of resin and glass particles to repair decayed or damaged teeth. These restorations are highly aesthetic and bond directly to the tooth structure, making them a versatile and tooth-preserving solution
Composite fillings are tooth-colored materials used to repair cavities or minor damage. They blend seamlessly with natural teeth, providing a more aesthetic alternative to traditional metal fillings.
They are ideal for small to medium cavities and offer less visibility than metal fillings. While they offer aesthetic advantages, composite fillings may not be suitable for large cavities requiring crowns or other more extensive treatments
They are less invasive, look natural, and are a more aesthetically pleasing option for smaller dental issues. However, they may wear over time, especially in areas like molars
Composite bonding is a minimally invasive procedure using tooth-colored resin to repair minor imperfections like chips or gaps
This quick, cost-effective treatment can significantly improve the appearance of teeth in just one visit. While it’s perfect for cosmetic enhancements, it may not be suitable for extensive damage
Bonding provides attractive results with minimal preparation and requires fewer visits. Though durable, it may need periodic touch-ups over time
Composite veneers involve applying a thin layer of resin to the surface of teeth to enhance their appearance
They are great for correcting minor discoloration, chips, or shape issues. However, they may not be the best option for severely damaged teeth or significant alignment problems
Composite veneers are more affordable and quicker to apply than ceramic veneers. While they provide attractive results, they may be less durable and prone to staining over time
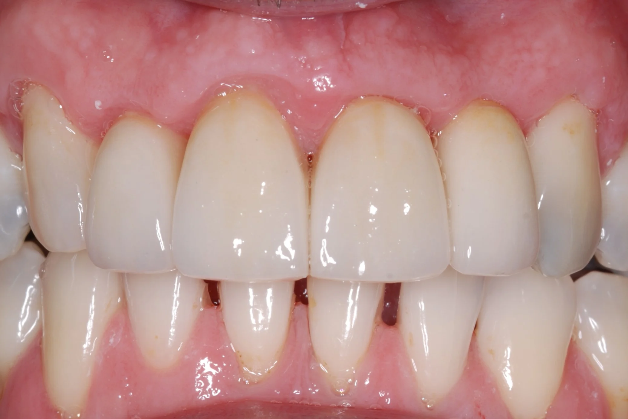
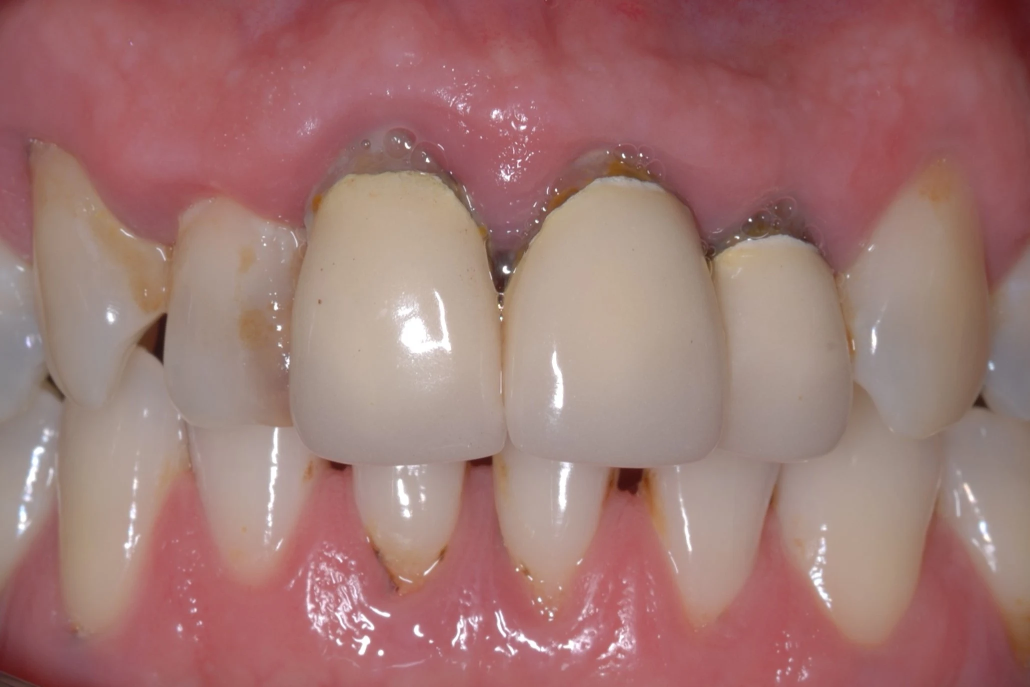
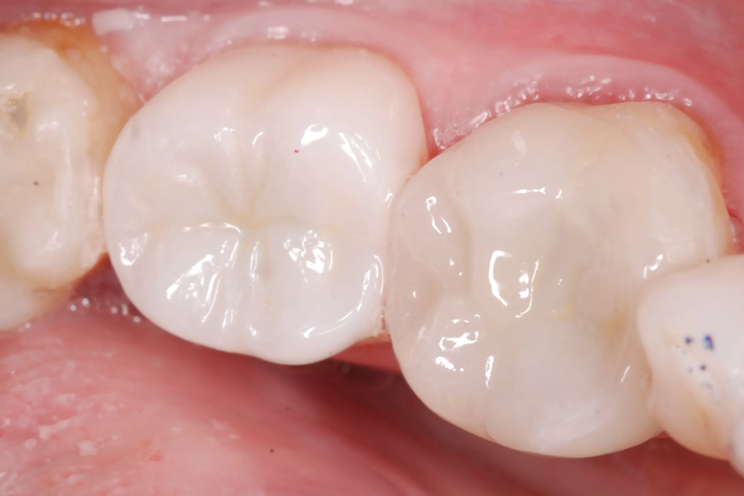
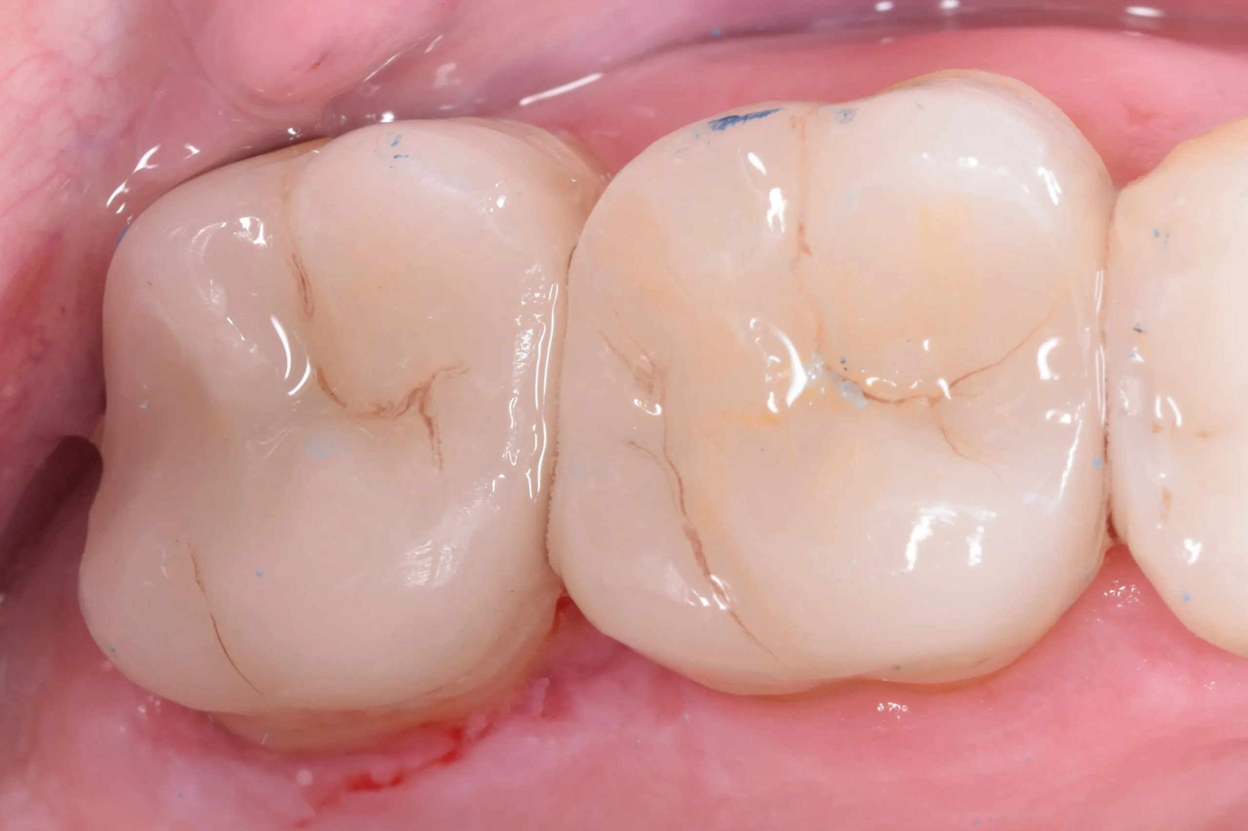
Ceramic Restorations: Durable and Natural Solutions for a Stunning Smile
ceramic restorations including crowns, bridges
inlays, and veneers made from high-quality ceramic materials, are designed to match the natural color and translucency of your teeth, providing both aesthetic and functional benefits. They are biocompatible, stain-resistant, and offer long-lasting, natural results for a beautiful, healthy smile
Dr. Bissasu specializes in ceramic crowns, crafted from high-quality ceramic materials to restore the shape, strength, and appearance of damaged teeth
They are ideal for highly visible areas, providing a natural look and a metal-free solution for patients seeking a beautiful, healthy smile
Ceramic crowns are durable and stain-resistant, though they may require careful maintenance, especially on posterior teeth, to maintain their natural appearance
Dr. Sami Bissasu offers ceramic bridges to replace missing teeth by anchoring artificial teeth to adjacent natural teeth or implants
They provide excellent aesthetics and functionality, making them suitable for both anterior and posterior teeth
Ceramic bridges offer a natural appearance, are biocompatible, and provide a durable solution. However, careful maintenance is essential to ensure their longevity and optimal performance
Dr. Bissasu offers the Maryland bridge, a minimally invasive option for replacing missing teeth, especially in the front of the mouth. This bridge bonds a false tooth to adjacent teeth with metal or ceramic wings
It preserves more natural tooth structure than traditional bridges and is ideal for replacing one or two front teeth
The Maryland bridge provides a natural appearance and is less invasive. However, it may not be suitable for areas with significant bite forces, requiring careful consideration for durability
Dr. Sami Bissasu offers ceramic veneers, thin, custom-made shells placed on the front surface of teeth to improve their appearance
They are ideal for patients with discolored, chipped, or misshapen teeth, providing a durable, stain-resistant solution
Ceramic veneers create a natural, beautiful smile, though they require the removal of some enamel, making the procedure irreversible and more costly than composite veneers.
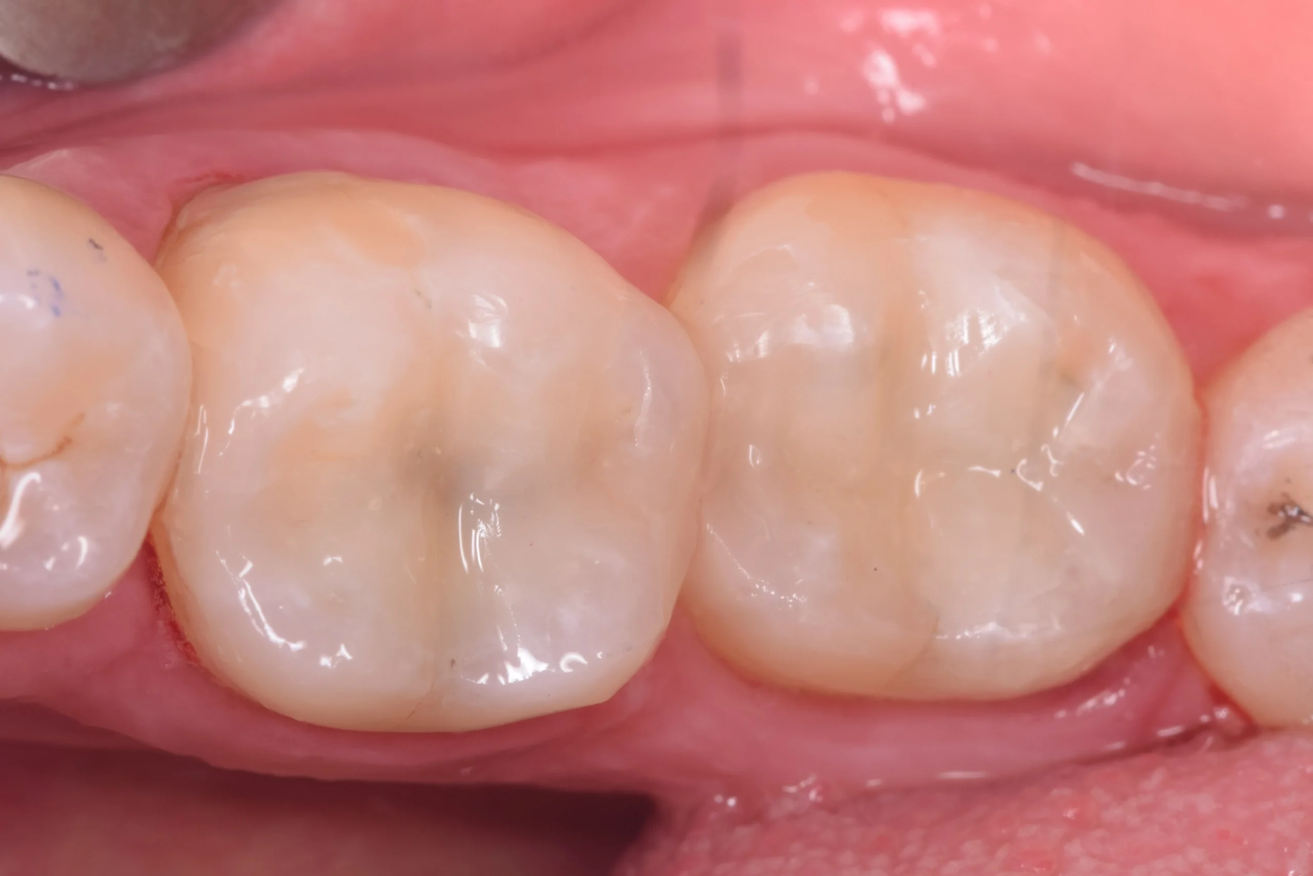
Dr. Bissasu offers ceramic inlays and onlays, custom-made restorations used to repair larger cavities or damaged teeth. Inlays fit within the cusps, while onlays cover one or more cusps
They are ideal for patients with larger cavities who don’t need full crowns, providing a strong and aesthetically pleasing solution
Ceramic inlays and onlays offer a customized approach to restoration, though they require more time and cost than traditional fillings, ensuring a durable and natural result
Full Mouth Rehabilitation – Restore Your Smile and Function
Dr. Sami Bissasu offers full mouth rehabilitation, a comprehensive treatment plan designed to restore the entire mouth, including teeth, gums, and bite
This treatment is ideal for patients with multiple damaged or worn teeth, extensive decay, or bite issues
Full mouth rehabilitation improves both aesthetics and function, restoring a healthy and balanced smile
Yes, it requires a significant time commitment and may not be suitable for those with untreated gum disease
The personalized nature of this rehabilitation can transform a patient’s oral health and appearance, tailored to individual needs
Dental Implants: A Permanent Solution for a Confident Smile
Dental implants are titanium posts surgically placed in the jawbone to support artificial teeth, providing a permanent solution for missing teeth
They are ideal for patients with sufficient bone density looking for a long-lasting, durable replacement
While they require a higher initial cost, implants offer a stable and natural-looking solution for restoring smiles
Yes, dental implants provide a stable and natural solution for restoring your smile
Implant-supported crowns and bridges use dental implants as stable foundations to support prosthetic restorations, ensuring both aesthetic appeal and functionality
Implant-supported crowns are ideal for individuals missing a single tooth. The process begins with placing a titanium implant into the jawbone, which serves as a strong anchor. Once integrated, a custom crown is created to match the surrounding teeth in color and shape
Implant-supported bridges are designed for patients missing multiple consecutive teeth. Dental implants are placed as anchors for a bridge that fills the gap without altering adjacent teeth. Dr. Bissasu then crafts a bridge that seamlessly integrates with the existing teeth
These treatments improve oral hygiene, enhance chewing ability, and restore speech. They provide a natural look and long-term durability, making them an excellent choice for tooth replacement
While the initial investment may be higher than traditional options, their durability and long-term benefits offer significant value, reducing the risk of complications over time
Over-implant dentures are innovative removable dentures supported by strategically placed dental implants in the jawbone. They combine the aesthetic and functional benefits of traditional dentures with the stability provided by implants, resulting in a secure and comfortable fit
Over-implant dentures are ideal for patients who have lost most or all of their teeth and want the stability and comfort of dental implants. They provide a secure fit while still being removable for cleaning and maintenance
The process starts with a comprehensive evaluation of the patient’s oral health and jawbone density to ensure adequate support for the implants. After the implants are placed, patients undergo a healing period to allow the implants to integrate with the jawbone. Once healed, Dr. Bissasu customizes the over-implant denture to fit securely over the implants, allowing it to snap into place for added stability
Over-implant dentures offer improved retention, reduced movement during eating and speaking, and enhanced chewing efficiency. They also help preserve jawbone health by preventing bone loss, which can occur with traditional dentures
Yes, the initial investment for over-implant dentures may be higher than conventional options. However, their durability, improved function, and quality of life enhancements make them a worthwhile investment for many patients
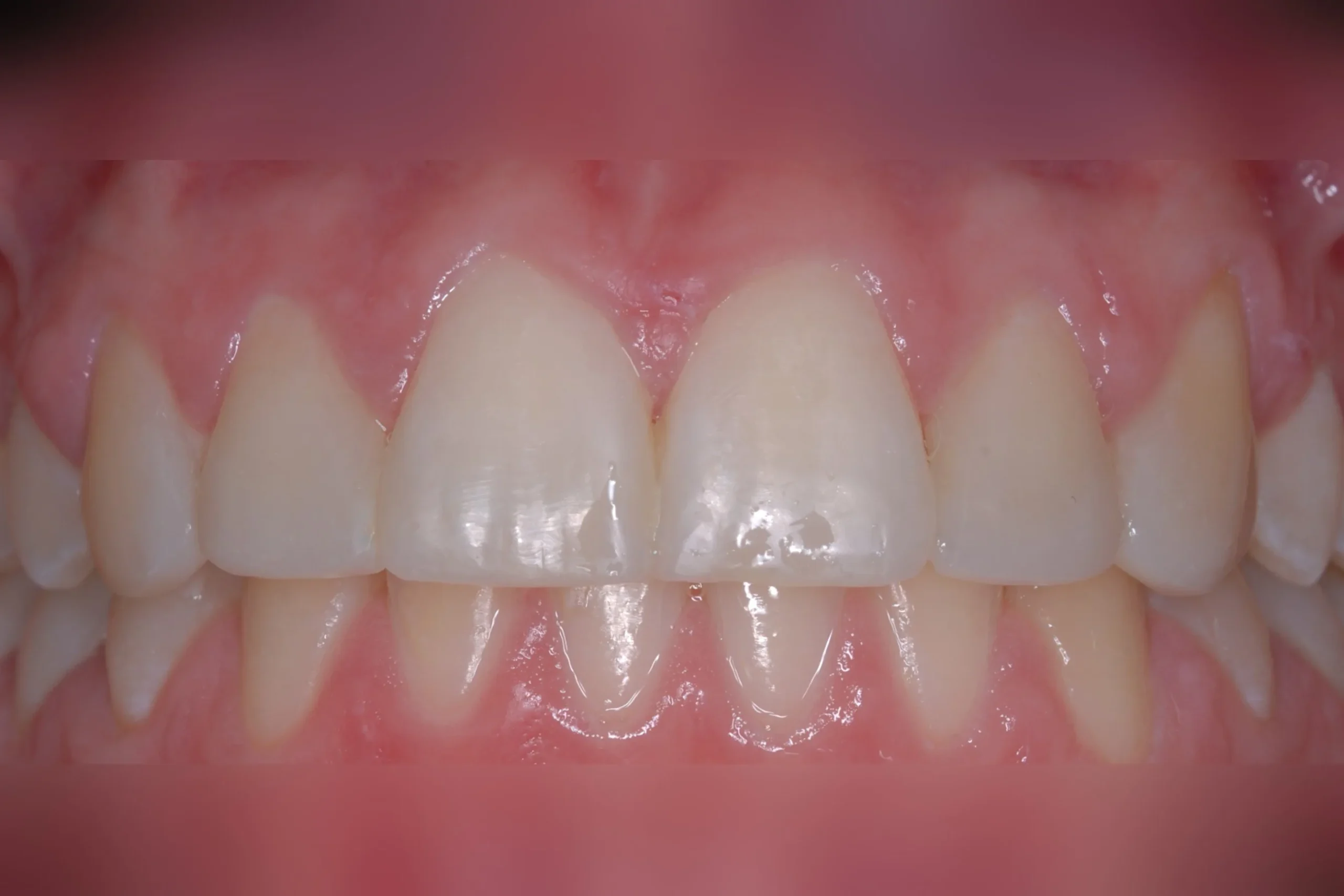
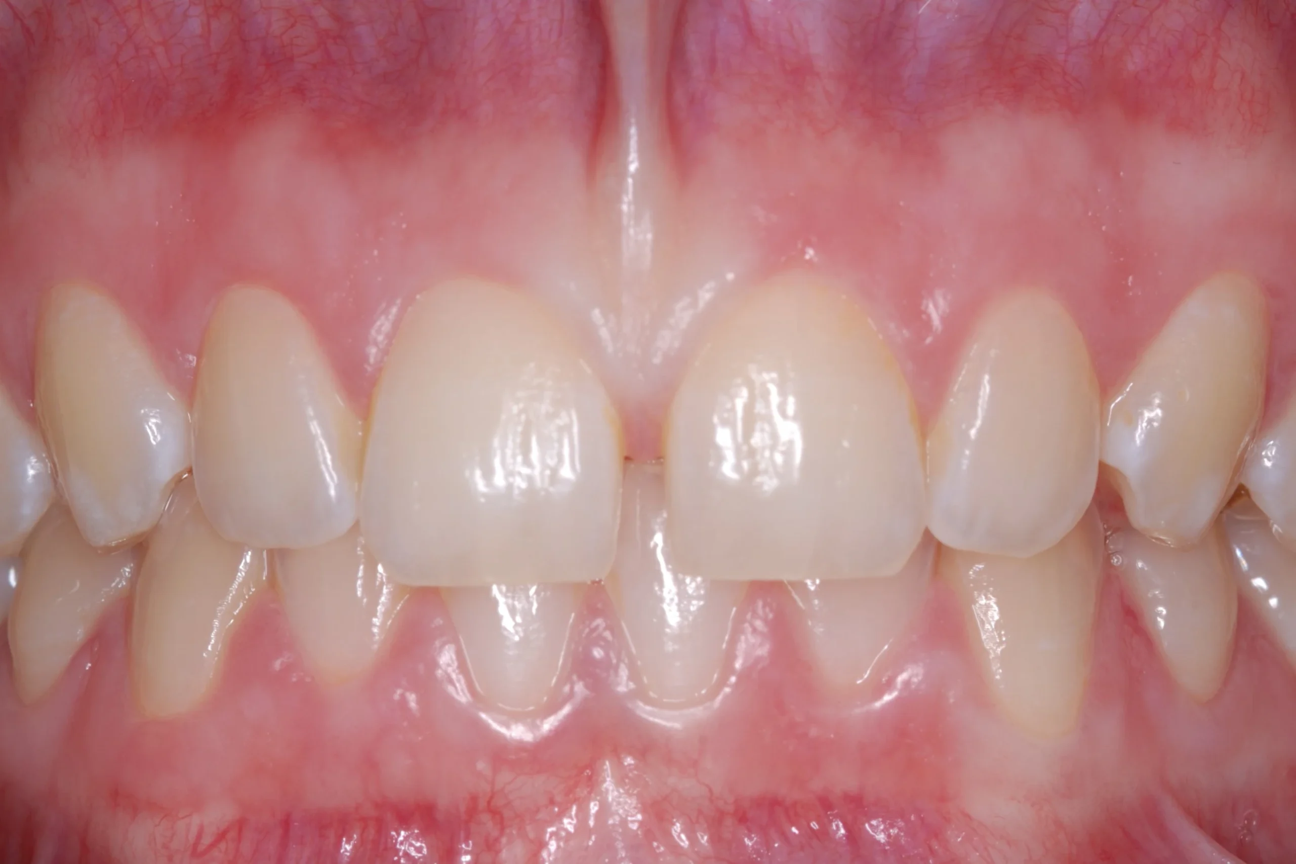
Tooth Whitening for a Brighter, More Confident Smile
Tooth whitening is a procedure designed to lighten teeth and remove stains caused by food, drinks, smoking, or other factors. Dr. Bissasu offers both external tooth whitening, which applies a bleaching agent to the outer surface of the teeth, and internal tooth whitening for teeth darkened from within
Some patients may experience temporary sensitivity following tooth whitening, though this usually subsides shortly after the procedure
While tooth whitening provides significant improvements in appearance, the results can fade over time, and periodic touch-ups may be needed to maintain the brightness
External tooth whitening involves applying a bleaching agent to the outer surface of the teeth. It is ideal for surface stains caused by factors like coffee, tea, or tobacco. This non-invasive procedure can be done in-office for immediate results or with take-home whitening kits. Temporary tooth sensitivity may occur, and results can fade over time
Internal tooth whitening is used for teeth darkened from within, usually due to trauma, root canal treatment, or decay. A whitening agent is placed inside the tooth after it has been opened. This method targets deep, intrinsic stains and is often combined with other restorative treatments for complete results
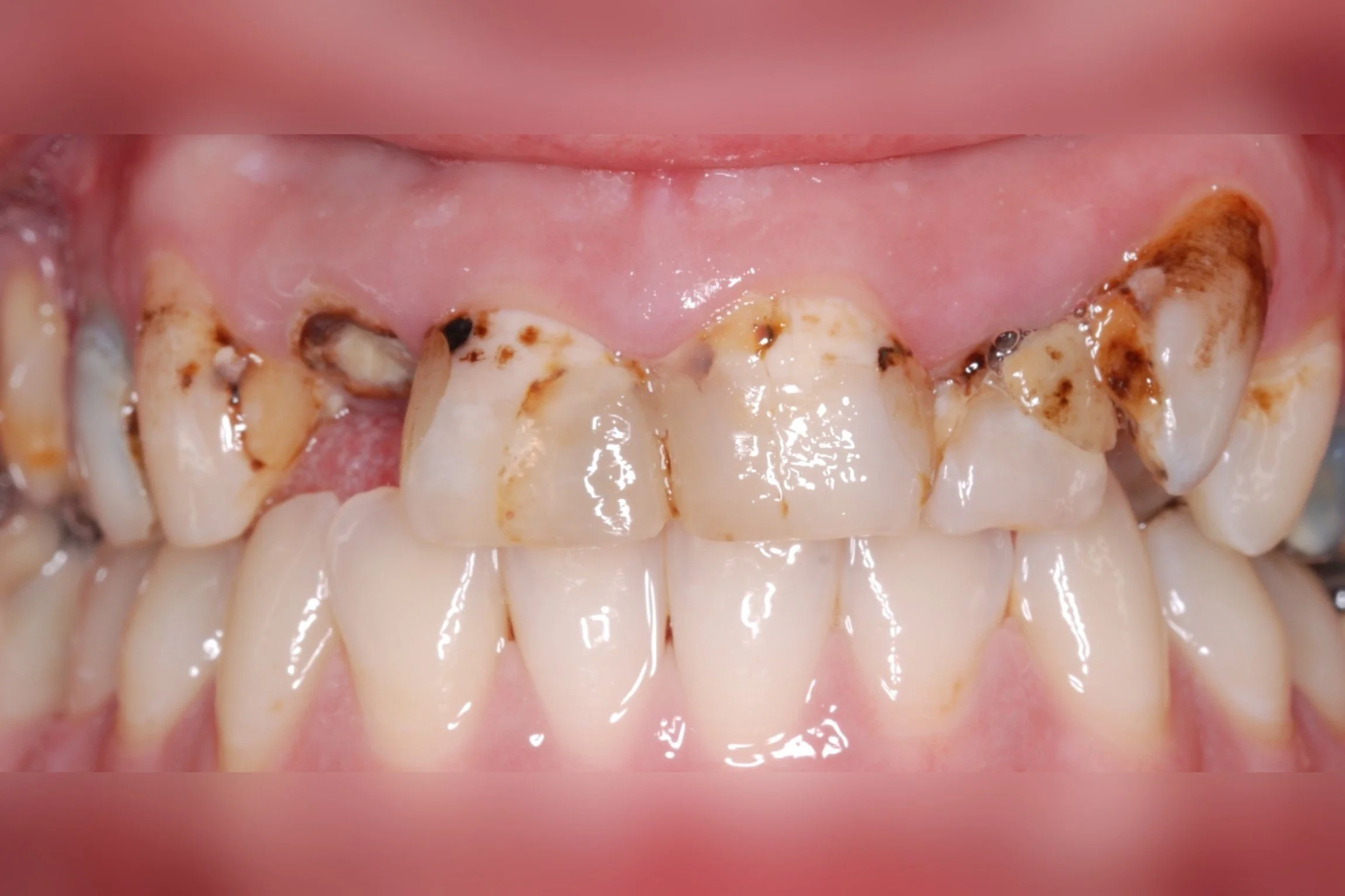
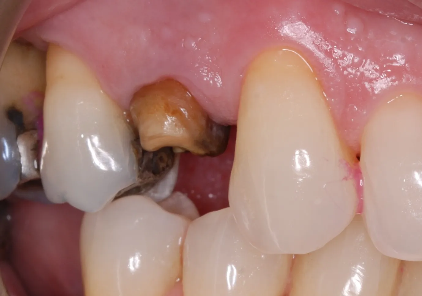
Dental Trauma: Expert Care for Immediate Relief and Recovery
Dr. Sami Bissasu provides expert care for dental trauma, addressing injuries to teeth, gums, and the jaw. Whether restoring fractured teeth or managing displaced teeth, his prompt and skilled approach ensures the best possible results for dental emergencies
Composite restoration is a quick and effective solution for repairing minor fractures by rebuilding the damaged area with tooth-coloured resin. It restores both the appearance and functionality of the tooth, providing a seamless match with natural teeth. However, for severe fractures that affect the tooth’s structure, more extensive treatment may be needed
Luxation is the displacement of a tooth from its normal position due to trauma. Treatment may involve repositioning the tooth and stabilizing it with a splint, followed by monitoring and recovery. In severe cases, root canal treatment may be necessary if the tooth’s pulp is damaged. Prompt treatment is crucial for saving the tooth and avoiding long-term complications. While most repositioning cases are successful, severe cases may require restorative options like crowns or implants
Smile Transformation: Your Journey to Confidence
Smile transformation focuses on enhancing the appearance of your smile by addressing issues like discolored, misshapen, or missing teeth
Anyone looking to boost self-confidence and achieve a beautiful smile can benefit from smile transformation
If you have gum issues or misalignment, we’ll find the best solution tailored to your needs
You’ll experience improved aesthetics and a lasting boost in self-esteem
While multiple steps may be involved, we ensure a smooth, effective process for a stunning smile!
Full Mouth Rehabilitation – Restore Your Smile and Function
Dr. Sami Bissasu offers full mouth rehabilitation, a comprehensive treatment plan designed to restore the entire mouth, including teeth, gums, and bite
This treatment is ideal for patients with multiple damaged or worn teeth, extensive decay, or bite issues
Full mouth rehabilitation improves both aesthetics and function, restoring a healthy and balanced smile
Yes, it requires a significant time commitment and may not be suitable for those with untreated gum disease
The personalized nature of this rehabilitation can transform a patient’s oral health and appearance, tailored to individual needs
Composite Restorations: Your Solution for a Beautiful Smile
What are Composite Restorations??
Dr. Bissasu provides composite restorations, using a blend of resin and glass particles to repair decayed or damaged teeth. These restorations are highly aesthetic and bond directly to the tooth structure, making them a versatile and tooth-preserving solution
Composite fillings are tooth-colored materials used to repair cavities or minor damage. They blend seamlessly with natural teeth, providing a more aesthetic alternative to traditional metal fillings.
They are ideal for small to medium cavities and offer less visibility than metal fillings. While they offer aesthetic advantages, composite fillings may not be suitable for large cavities requiring crowns or other more extensive treatments
They are less invasive, look natural, and are a more aesthetically pleasing option for smaller dental issues. However, they may wear over time, especially in areas like molars
Composite bonding is a minimally invasive procedure using tooth-colored resin to repair minor imperfections like chips or gaps
This quick, cost-effective treatment can significantly improve the appearance of teeth in just one visit. While it’s perfect for cosmetic enhancements, it may not be suitable for extensive damage
Bonding provides attractive results with minimal preparation and requires fewer visits. Though durable, it may need periodic touch-ups over time
Composite veneers involve applying a thin layer of resin to the surface of teeth to enhance their appearance
They are great for correcting minor discoloration, chips, or shape issues. However, they may not be the best option for severely damaged teeth or significant alignment problems
Composite veneers are more affordable and quicker to apply than ceramic veneers. While they provide attractive results, they may be less durable and prone to staining over time
Dr. Bissasu specializes in ceramic crowns, crafted from high-quality ceramic materials to restore the shape, strength, and appearance of damaged teeth
They are ideal for highly visible areas, providing a natural look and a metal-free solution for patients seeking a beautiful, healthy smile
Ceramic crowns are durable and stain-resistant, though they may require careful maintenance, especially on posterior teeth, to maintain their natural appearance
Dr. Sami Bissasu offers ceramic bridges to replace missing teeth by anchoring artificial teeth to adjacent natural teeth or implants
They provide excellent aesthetics and functionality, making them suitable for both anterior and posterior teeth
Ceramic bridges offer a natural appearance, are biocompatible, and provide a durable solution. However, careful maintenance is essential to ensure their longevity and optimal performance
Dr. Bissasu offers the Maryland bridge, a minimally invasive option for replacing missing teeth, especially in the front of the mouth. This bridge bonds a false tooth to adjacent teeth with metal or ceramic wings
It preserves more natural tooth structure than traditional bridges and is ideal for replacing one or two front teeth
The Maryland bridge provides a natural appearance and is less invasive. However, it may not be suitable for areas with significant bite forces, requiring careful consideration for durability
Dr. Sami Bissasu offers ceramic veneers, thin, custom-made shells placed on the front surface of teeth to improve their appearance
They are ideal for patients with discolored, chipped, or misshapen teeth, providing a durable, stain-resistant solution
Ceramic veneers create a natural, beautiful smile, though they require the removal of some enamel, making the procedure irreversible and more costly than composite veneers.
Dr. Bissasu offers ceramic inlays and onlays, custom-made restorations used to repair larger cavities or damaged teeth. Inlays fit within the cusps, while onlays cover one or more cusps
They are ideal for patients with larger cavities who don’t need full crowns, providing a strong and aesthetically pleasing solution
Ceramic inlays and onlays offer a customized approach to restoration, though they require more time and cost than traditional fillings, ensuring a durable and natural result
Full Mouth Rehabilitation – Restore Your Smile and Function
Dr. Sami Bissasu offers full mouth rehabilitation, a comprehensive treatment plan designed to restore the entire mouth, including teeth, gums, and bite
This treatment is ideal for patients with multiple damaged or worn teeth, extensive decay, or bite issues
Full mouth rehabilitation improves both aesthetics and function, restoring a healthy and balanced smile
Yes, it requires a significant time commitment and may not be suitable for those with untreated gum disease
The personalized nature of this rehabilitation can transform a patient’s oral health and appearance, tailored to individual needs
Dental Implants: A Permanent Solution for a Confident Smile
Dental implants are titanium posts surgically placed in the jawbone to support artificial teeth, providing a permanent solution for missing teeth
They are ideal for patients with sufficient bone density looking for a long-lasting, durable replacement
While they require a higher initial cost, implants offer a stable and natural-looking solution for restoring smiles
Yes, dental implants provide a stable and natural solution for restoring your smile
Implant-supported crowns and bridges use dental implants as stable foundations to support prosthetic restorations, ensuring both aesthetic appeal and functionality
Implant-supported crowns are ideal for individuals missing a single tooth. The process begins with placing a titanium implant into the jawbone, which serves as a strong anchor. Once integrated, a custom crown is created to match the surrounding teeth in color and shape
Implant-supported bridges are designed for patients missing multiple consecutive teeth. Dental implants are placed as anchors for a bridge that fills the gap without altering adjacent teeth. Dr. Bissasu then crafts a bridge that seamlessly integrates with the existing teeth
These treatments improve oral hygiene, enhance chewing ability, and restore speech. They provide a natural look and long-term durability, making them an excellent choice for tooth replacement
While the initial investment may be higher than traditional options, their durability and long-term benefits offer significant value, reducing the risk of complications over time
Over-implant dentures are innovative removable dentures supported by strategically placed dental implants in the jawbone. They combine the aesthetic and functional benefits of traditional dentures with the stability provided by implants, resulting in a secure and comfortable fit
Over-implant dentures are ideal for patients who have lost most or all of their teeth and want the stability and comfort of dental implants. They provide a secure fit while still being removable for cleaning and maintenance
The process starts with a comprehensive evaluation of the patient’s oral health and jawbone density to ensure adequate support for the implants. After the implants are placed, patients undergo a healing period to allow the implants to integrate with the jawbone. Once healed, Dr. Bissasu customizes the over-implant denture to fit securely over the implants, allowing it to snap into place for added stability
Over-implant dentures offer improved retention, reduced movement during eating and speaking, and enhanced chewing efficiency. They also help preserve jawbone health by preventing bone loss, which can occur with traditional dentures
Yes, the initial investment for over-implant dentures may be higher than conventional options. However, their durability, improved function, and quality of life enhancements make them a worthwhile investment for many patients
Tooth Whitening for a Brighter, More Confident Smile
Tooth whitening is a procedure designed to lighten teeth and remove stains caused by food, drinks, smoking, or other factors. Dr. Bissasu offers both external tooth whitening, which applies a bleaching agent to the outer surface of the teeth, and internal tooth whitening for teeth darkened from within
Some patients may experience temporary sensitivity following tooth whitening, though this usually subsides shortly after the procedure
While tooth whitening provides significant improvements in appearance, the results can fade over time, and periodic touch-ups may be needed to maintain the brightness
External tooth whitening involves applying a bleaching agent to the outer surface of the teeth. It is ideal for surface stains caused by factors like coffee, tea, or tobacco. This non-invasive procedure can be done in-office for immediate results or with take-home whitening kits. Temporary tooth sensitivity may occur, and results can fade over time
Internal tooth whitening is used for teeth darkened from within, usually due to trauma, root canal treatment, or decay. A whitening agent is placed inside the tooth after it has been opened. This method targets deep, intrinsic stains and is often combined with other restorative treatments for complete results
Dental Trauma: Expert Care for Immediate Relief and Recovery
Dr. Sami Bissasu provides expert care for dental trauma, addressing injuries to teeth, gums, and the jaw. Whether restoring fractured teeth or managing displaced teeth, his prompt and skilled approach ensures the best possible results for dental emergencies
Composite restoration is a quick and effective solution for repairing minor fractures by rebuilding the damaged area with tooth-coloured resin. It restores both the appearance and functionality of the tooth, providing a seamless match with natural teeth. However, for severe fractures that affect the tooth’s structure, more extensive treatment may be needed
Luxation is the displacement of a tooth from its normal position due to trauma. Treatment may involve repositioning the tooth and stabilizing it with a splint, followed by monitoring and recovery. In severe cases, root canal treatment may be necessary if the tooth’s pulp is damaged. Prompt treatment is crucial for saving the tooth and avoiding long-term complications. While most repositioning cases are successful, severe cases may require restorative options like crowns or implants
Dental Implants: A Permanent Solution for a Confident Smile
Dental implants are titanium posts surgically placed in the jawbone to support artificial teeth, providing a permanent solution for missing teeth
They are ideal for patients with sufficient bone density looking for a long-lasting, durable replacement
While they require a higher initial cost, implants offer a stable and natural-looking solution for restoring smiles
Yes, dental implants provide a stable and natural solution for restoring your smile












Smile Transformation: Your Journey to Confidence
Smile transformation focuses on enhancing the appearance of your smile by addressing issues like discolored, misshapen, or missing teeth
Anyone looking to boost self-confidence and achieve a beautiful smile can benefit from smile transformation
If you have gum issues or misalignment, we’ll find the best solution tailored to your needs
You’ll experience improved aesthetics and a lasting boost in self-esteem
While multiple steps may be involved, we ensure a smooth, effective process for a stunning smile!




Full Mouth Rehabilitation – Restore Your Smile and Function
Dr. Sami Bissasu offers full mouth rehabilitation, a comprehensive treatment plan designed to restore the entire mouth, including teeth, gums, and bite
This treatment is ideal for patients with multiple damaged or worn teeth, extensive decay, or bite issues
Full mouth rehabilitation improves both aesthetics and function, restoring a healthy and balanced smile
Yes, it requires a significant time commitment and may not be suitable for those with untreated gum disease
The personalized nature of this rehabilitation can transform a patient’s oral health and appearance, tailored to individual needs
Composite Restorations: Your Solution for a Beautiful Smile
What are Composite Restorations??
Dr. Bissasu provides composite restorations, using a blend of resin and glass particles to repair decayed or damaged teeth. These restorations are highly aesthetic and bond directly to the tooth structure, making them a versatile and tooth-preserving solution








Dr. Bissasu specializes in ceramic crowns, crafted from high-quality ceramic materials to restore the shape, strength, and appearance of damaged teeth
They are ideal for highly visible areas, providing a natural look and a metal-free solution for patients seeking a beautiful, healthy smile
Ceramic crowns are durable and stain-resistant, though they may require careful maintenance, especially on posterior teeth, to maintain their natural appearance








Dr. Sami Bissasu offers ceramic bridges to replace missing teeth by anchoring artificial teeth to adjacent natural teeth or implants
They provide excellent aesthetics and functionality, making them suitable for both anterior and posterior teeth
Ceramic bridges offer a natural appearance, are biocompatible, and provide a durable solution. However, careful maintenance is essential to ensure their longevity and optimal performance









Dr. Bissasu offers the Maryland bridge, a minimally invasive option for replacing missing teeth, especially in the front of the mouth. This bridge bonds a false tooth to adjacent teeth with metal or ceramic wings
It preserves more natural tooth structure than traditional bridges and is ideal for replacing one or two front teeth
The Maryland bridge provides a natural appearance and is less invasive. However, it may not be suitable for areas with significant bite forces, requiring careful consideration for durability








Dr. Bissasu specializes in ceramic crowns, crafted from high-quality ceramic materials to restore the shape, strength, and appearance of damaged teeth
They are ideal for highly visible areas, providing a natural look and a metal-free solution for patients seeking a beautiful, healthy smile
Ceramic crowns are durable and stain-resistant, though they may require careful maintenance, especially on posterior teeth, to maintain their natural appearance


Dr. Sami Bissasu offers ceramic bridges to replace missing teeth by anchoring artificial teeth to adjacent natural teeth or implants
They provide excellent aesthetics and functionality, making them suitable for both anterior and posterior teeth
Ceramic bridges offer a natural appearance, are biocompatible, and provide a durable solution. However, careful maintenance is essential to ensure their longevity and optimal performance





Dr. Bissasu offers the Maryland bridge, a minimally invasive option for replacing missing teeth, especially in the front of the mouth. This bridge bonds a false tooth to adjacent teeth with metal or ceramic wings
It preserves more natural tooth structure than traditional bridges and is ideal for replacing one or two front teeth
The Maryland bridge provides a natural appearance and is less invasive. However, it may not be suitable for areas with significant bite forces, requiring careful consideration for durability





Dr. Sami Bissasu offers ceramic veneers, thin, custom-made shells placed on the front surface of teeth to improve their appearance
They are ideal for patients with discolored, chipped, or misshapen teeth, providing a durable, stain-resistant solution
Ceramic veneers create a natural, beautiful smile, though they require the removal of some enamel, making the procedure irreversible and more costly than composite veneers.









Dr. Bissasu offers ceramic inlays and onlays, custom-made restorations used to repair larger cavities or damaged teeth. Inlays fit within the cusps, while onlays cover one or more cusps
They are ideal for patients with larger cavities who don’t need full crowns, providing a strong and aesthetically pleasing solution
Ceramic inlays and onlays offer a customized approach to restoration, though they require more time and cost than traditional fillings, ensuring a durable and natural result






Full Mouth Rehabilitation – Restore Your Smile and Function
Dr. Sami Bissasu offers full mouth rehabilitation, a comprehensive treatment plan designed to restore the entire mouth, including teeth, gums, and bite
This treatment is ideal for patients with multiple damaged or worn teeth, extensive decay, or bite issues
Full mouth rehabilitation improves both aesthetics and function, restoring a healthy and balanced smile
Yes, it requires a significant time commitment and may not be suitable for those with untreated gum disease
The personalized nature of this rehabilitation can transform a patient’s oral health and appearance, tailored to individual needs











Tooth Whitening for a Brighter, More Confident Smile
Tooth whitening is a procedure designed to lighten teeth and remove stains caused by food, drinks, smoking, or other factors. Dr. Bissasu offers both external tooth whitening, which applies a bleaching agent to the outer surface of the teeth, and internal tooth whitening for teeth darkened from within
Some patients may experience temporary sensitivity following tooth whitening, though this usually subsides shortly after the procedure
While tooth whitening provides significant improvements in appearance, the results can fade over time, and periodic touch-ups may be needed to maintain the brightness
External tooth whitening involves applying a bleaching agent to the outer surface of the teeth. It is ideal for surface stains caused by factors like coffee, tea, or tobacco. This non-invasive procedure can be done in-office for immediate results or with take-home whitening kits. Temporary tooth sensitivity may occur, and results can fade over time
Internal tooth whitening is used for teeth darkened from within, usually due to trauma, root canal treatment, or decay. A whitening agent is placed inside the tooth after it has been opened. This method targets deep, intrinsic stains and is often combined with other restorative treatments for complete results








Dental Trauma: Expert Care for Immediate Relief and Recovery
Dr. Sami Bissasu provides expert care for dental trauma, addressing injuries to teeth, gums, and the jaw. Whether restoring fractured teeth or managing displaced teeth, his prompt and skilled approach ensures the best possible results for dental emergencies
Composite restoration is a quick and effective solution for repairing minor fractures by rebuilding the damaged area with tooth-coloured resin. It restores both the appearance and functionality of the tooth, providing a seamless match with natural teeth. However, for severe fractures that affect the tooth’s structure, more extensive treatment may be needed
Luxation is the displacement of a tooth from its normal position due to trauma. Treatment may involve repositioning the tooth and stabilizing it with a splint, followed by monitoring and recovery. In severe cases, root canal treatment may be necessary if the tooth’s pulp is damaged. Prompt treatment is crucial for saving the tooth and avoiding long-term complications. While most repositioning cases are successful, severe cases may require restorative options like crowns or implants
With a patient-centered approach, we provide personalized treatment plans to restore your smile’s function and beauty, ensuring you leave with confidence and satisfaction
With more than two decades of experience, we specialize in restoring function and aesthetics, delivering personalized treatments to ensure a confident and healthy smile.